Request Appointment

BEFORE/AFTER

Smile Gallery

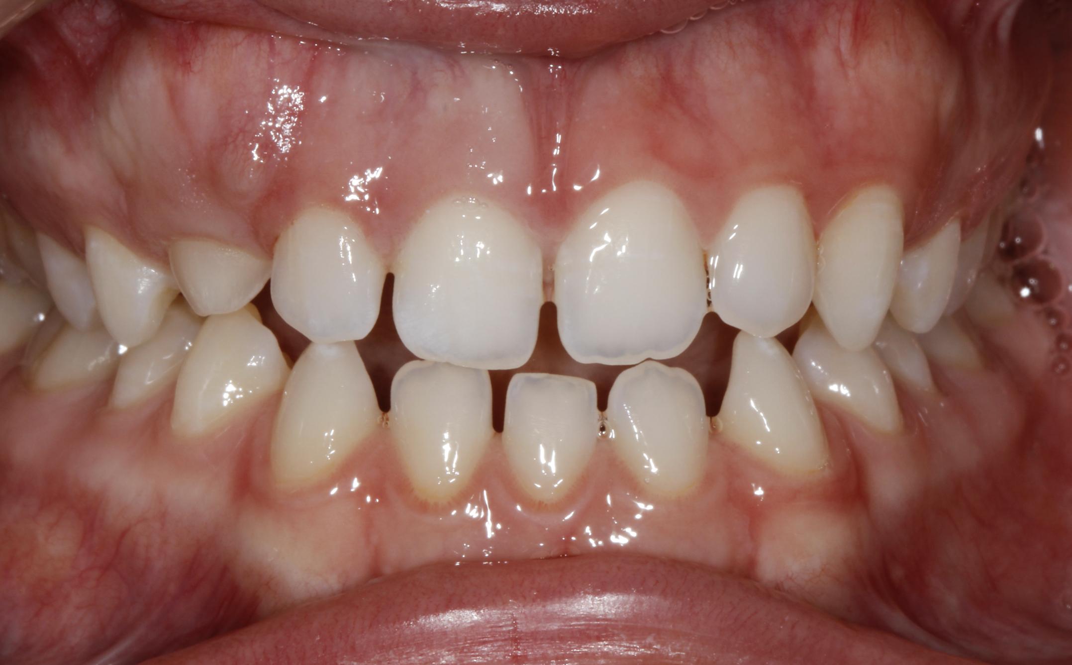
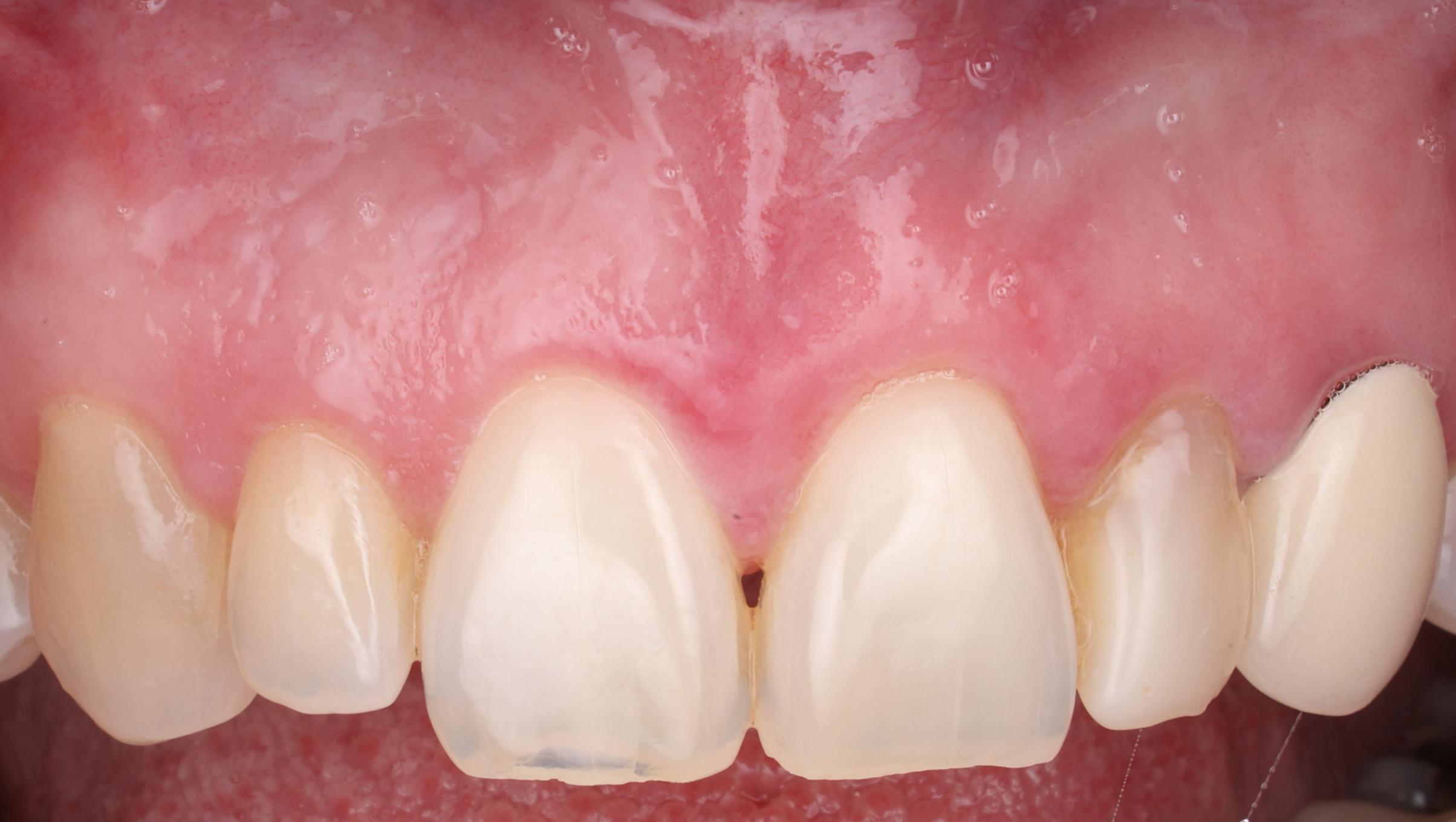
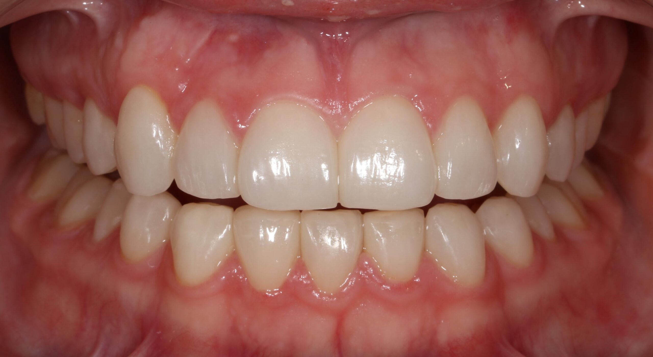
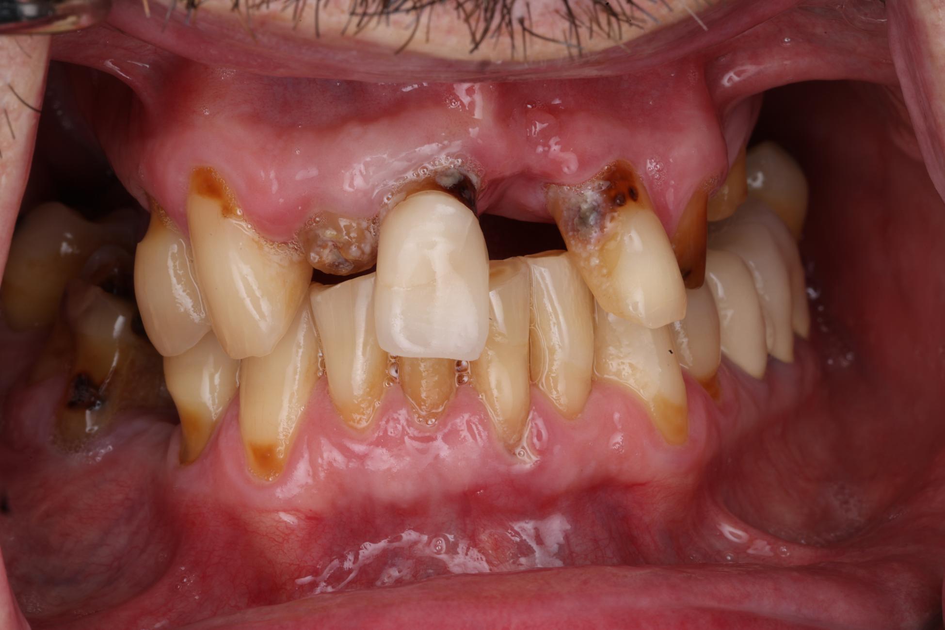
Gum Recession Treatment

Before After
Before Image
After Image

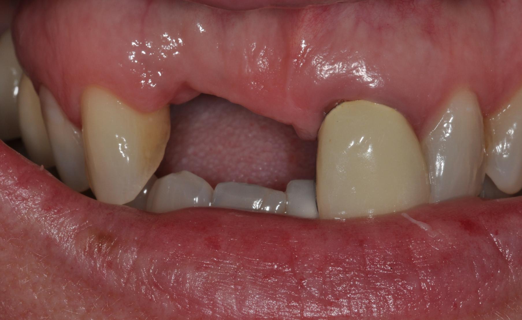
Dental Implant Treatment

Before After
Before Image
After Image

Full Arch Implant Therapy

Before After
Before Image
After Image

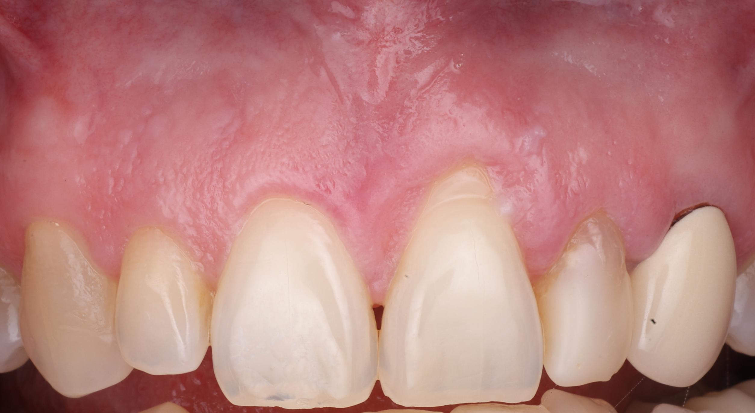
Esthetic Crown Lengthening

Before After
Before Image
After Image